冷たいものがしみる
歯の痛み
冷たいものがしみる
アイスを食べるとしみる。朝起きた時に飲む水がしみる。
冷たいものがしみるときの原因として多いのは、
①虫歯が以前より深くに達した。
②歯茎が下がって歯根が露出している。
③噛み合わせに問題があったり、歯軋りや食いしばりの影響。
などです。
原因は違っても、痛みの種類や症状が似ているものが多く、鑑別が必要です。
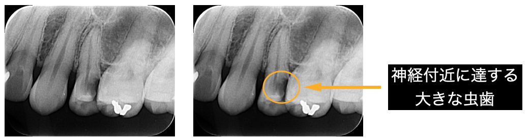
①虫歯が以前より深くに達した。
虫歯の存在に気づかなかったり、症状がないため放置していると虫歯は深くまで進行してしまいます。
神経付近にまで虫歯が達すると、冷たいものを飲んだ後長時間しみたり、温かいものがしみてくることもあります。
そこまでいくと神経の処置が必要になることもあります。

②歯茎が下がって歯根が露出している。
歯周病や過度な圧力でのブラッシングなどによって歯根が露出することもしみる原因になります。
歯周病治療やブラッシングのアドバイスによりしみが改善することもあります。

③噛み合わせに問題があったり、歯軋りや食いしばりの影響。
噛み合わせに問題があったり、歯軋りや食いしばりがあると、歯と歯茎の境目の歯質がくさび状に欠けてしまったり、冷たいものに過敏に反応してしまうことがあります。
ナイトガードによる力のコントロールや、欠損部の修復、しみ止め処置で改善する場合があります。

アイスを食べるとしみる。朝起きた時に飲む水がしみる。
冷たいものがしみるときの原因として多いのは、
①虫歯が以前より深くに達した。
②歯茎が下がって歯根が露出している。
③噛み合わせに問題があったり、歯軋りや食いしばりの影響。
などです。
原因は違っても、痛みの種類や症状が似ているものが多く、鑑別が必要です。
①虫歯が以前より深くに達した。
虫歯の存在に気づかなかったり、症状がないため放置していると虫歯は深くまで進行してしまいます。
神経付近にまで虫歯が達すると、冷たいものを飲んだ後長時間しみたり、温かいものがしみてくることもあります。
そこまでいくと神経の処置が必要になることもあります。

②歯茎が下がって歯根が露出している。
歯周病や過度な圧力でのブラッシングなどによって歯根が露出することもしみる原因になります。
歯周病治療やブラッシングのアドバイスによりしみが改善することもあります。

③噛み合わせに問題があったり、歯軋りや食いしばりの影響。
噛み合わせに問題があったり、歯軋りや食いしばりがあると、歯と歯茎の境目の歯質がくさび状に欠けてしまったり、冷たいものに過敏に反応してしまうことがあります。
ナイトガードによる力のコントロールや、欠損部の修復、しみ止め処置で改善する場合があります。



