歯を噛み合わせると痛い。
歯の痛み
歯を噛み合わせると痛い、食事の時に痛む。
噛むと痛い症状は歯科的には多くの原因が考えられます。
原因として多いのは、
①根の先に膿が溜まっている
②神経近くまで到達する深い虫歯がある。
③重度の歯周病に罹患している。
④噛み合わせに問題があったりや歯軋りや食いしばりの影響
⑤歯にヒビが入っている。
などです。
原因は違っても、痛みの種類や症状が似ているものが多く、鑑別が必要です。
①根の先に膿が溜まっている
根の先の歯茎を押すと痛い、歯茎にできものができて膿が出る。
そのような時は根管治療が必要となります。

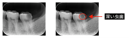
②神経近くまで到達する深い虫歯がある。
虫歯の進行の程度により神経が保存できる状態か診断が必要です。
現在では神経を保存する治療の成功率も高まっていますが成功率は100%ではないので正確な診査診断、術式が必要です。神経を保存する治療が奏功しなかったときには神経を取る処置に移行する場合もあります。

③重度の歯周病に罹患している。
歯周病が進行している場合には、歯茎の腫れや出血といった他の症状も出るため比較的鑑別は容易です。歯周病は全身の健康とも関わっているため根気強く治療に取り組む必要があります。
④噛み合わせに問題があったり、歯軋りや食いしばりの影響。
噛むと痛い症状の原因が噛み合わせや、歯軋りや食いしばりによる負担荷重や咬合性の外傷の場合、過剰な力がかかってしまっている場合には必要に応じて噛み合わせの調整や、マウスピースによる睡眠中の力のコントロールが必要になるケースがあります。また根本的な問題解決のために矯正治療を検討することもあります。
⑤歯にヒビが入っている
歯にヒビが入っているために噛むと痛みが出ている場合には、ヒビがどこまで到達しているかによって治療方法が変わってきます。神経が保存できる場合、神経の治療が必要になる場合、歯を保存することができず抜歯になる場合があり、正確な診査診断が必要となります。
以上のように噛むと痛いという症状一つでも様々な原因、診査、治療法があります。心配な症状があるときにはお気軽にご相談ください。
噛むと痛い症状は歯科的には多くの原因が考えられます。
原因として多いのは、
①根の先に膿が溜まっている
②神経近くまで到達する深い虫歯がある。
③重度の歯周病に罹患している。
④噛み合わせに問題があったりや歯軋りや食いしばりの影響
⑤歯にヒビが入っている。
などです。
原因は違っても、痛みの種類や症状が似ているものが多く、鑑別が必要です。
①根の先に膿が溜まっている
根の先の歯茎を押すと痛い、歯茎にできものができて膿が出る。
そのような時は根管治療が必要となります。

②神経近くまで到達する深い虫歯がある。
虫歯の進行の程度により神経が保存できる状態か診断が必要です。
現在では神経を保存する治療の成功率も高まっていますが成功率は100%ではないので正確な診査診断、術式が必要です。神経を保存する治療が奏功しなかったときには神経を取る処置に移行する場合もあります。

③重度の歯周病に罹患している。
歯周病が進行している場合には、歯茎の腫れや出血といった他の症状も出るため比較的鑑別は容易です。歯周病は全身の健康とも関わっているため根気強く治療に取り組む必要があります。
④噛み合わせに問題があったり、歯軋りや食いしばりの影響。
噛むと痛い症状の原因が噛み合わせや、歯軋りや食いしばりによる負担荷重や咬合性の外傷の場合、過剰な力がかかってしまっている場合には必要に応じて噛み合わせの調整や、マウスピースによる睡眠中の力のコントロールが必要になるケースがあります。また根本的な問題解決のために矯正治療を検討することもあります。
⑤歯にヒビが入っている
歯にヒビが入っているために噛むと痛みが出ている場合には、ヒビがどこまで到達しているかによって治療方法が変わってきます。神経が保存できる場合、神経の治療が必要になる場合、歯を保存することができず抜歯になる場合があり、正確な診査診断が必要となります。
以上のように噛むと痛いという症状一つでも様々な原因、診査、治療法があります。心配な症状があるときにはお気軽にご相談ください。


