歯茎のできもの
根管治療
歯茎にできものができて治らない。
できものが膨れたり萎んだりして消えない。
そのような場合根の先に膿が溜まってしまい、排膿路としてできものができている場合があります。
歯茎のできものが、根管内の感染によるものの場合根管治療を行うことで治癒に導くことができます。

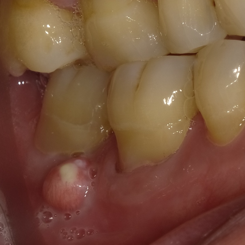
写真は歯茎にできたできもの(サイナストラクト)です。

できものの出口からレントゲンに写るゴムを挿入して写真を撮ると、根の先で渦を巻いており、ここに膿の袋ができていることがわかります。

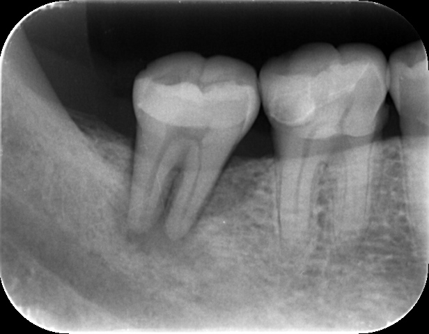
治療前のレントゲンで根の先が黒く写っています。これは歯の中の神経が壊死してしまい感染を起こしています。
既に根管治療を受けている歯でも、根管内が汚れていると同様に膿が溜まってしまいます。

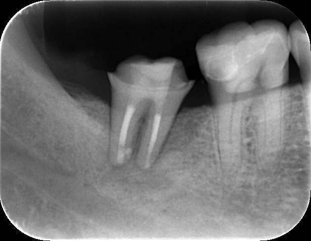
治療後3ヶ月のレントゲンで、歯の根の周りの骨が回復してきているのが確認されます。治癒の経過は仮の被せを装着して噛める状態で確認していきます。

治療後3ヶ月、歯茎のできものは消えています。この時点で治癒傾向が確認され、最終的な被せを進めていきます。

治療後1年。歯の周りをしっかりと骨が取り囲み、良好な治癒が確認されます。

治療後1年の歯肉。歯茎は健康な状態へと回復しています。
このケースでは根管治療のみで良好な治癒が確認されましたが、過去に受けている治療の状態や、汚染の程度によっては根管治療のみでの回復が難しく、外科的な介入も必要となる場合もあります。
適切な検査診断の上での治療介入が必要となります。
歯茎のできものが再発を繰り返している、できものが消えないでずっとある、そのような場合はご相談ください。
できものが膨れたり萎んだりして消えない。
そのような場合根の先に膿が溜まってしまい、排膿路としてできものができている場合があります。
歯茎のできものが、根管内の感染によるものの場合根管治療を行うことで治癒に導くことができます。

写真は歯茎にできたできもの(サイナストラクト)です。

できものの出口からレントゲンに写るゴムを挿入して写真を撮ると、根の先で渦を巻いており、ここに膿の袋ができていることがわかります。

治療前のレントゲンで根の先が黒く写っています。これは歯の中の神経が壊死してしまい感染を起こしています。
既に根管治療を受けている歯でも、根管内が汚れていると同様に膿が溜まってしまいます。

治療後3ヶ月のレントゲンで、歯の根の周りの骨が回復してきているのが確認されます。治癒の経過は仮の被せを装着して噛める状態で確認していきます。

治療後3ヶ月、歯茎のできものは消えています。この時点で治癒傾向が確認され、最終的な被せを進めていきます。

治療後1年。歯の周りをしっかりと骨が取り囲み、良好な治癒が確認されます。

治療後1年の歯肉。歯茎は健康な状態へと回復しています。
このケースでは根管治療のみで良好な治癒が確認されましたが、過去に受けている治療の状態や、汚染の程度によっては根管治療のみでの回復が難しく、外科的な介入も必要となる場合もあります。
適切な検査診断の上での治療介入が必要となります。
歯茎のできものが再発を繰り返している、できものが消えないでずっとある、そのような場合はご相談ください。


